「骨盤補正二段ベルト」の着用で「恥骨結合難解」の改善に有意性が示されました
「恥骨結合難解」とは一般に妊娠後期(8ヶ月前後)及び分娩時に「恥骨結合軟骨」が弛緩する際、何らかの理由でその程度が過度となった状態、あるいは「恥骨結合軟骨」が損傷している状態をいいます。
健常状態(図D上・左図)では「恥骨結合軟骨(結合間隔は約3mm以下)」ですが、前記のような事情により軟骨部位が約3倍の間隔まで広がるといった異常が生じます(図D上・右図)。

また「恥骨結合難解」は顕著な自発痛及び圧痛を起こし、症状が進むと歩行困難とさせる場合もあります。
「恥骨結合難解」が起こる理由には様々な定説がありますが、中でも「hGH濃度減少説」が優位となってきた事は注目すべきであり、上述した「hGHの分泌量の増加」を一つの機能として有する「骨盤補正二段ベルト」を開発してきた著者らは、これを見逃す訳にはいきません。
一方、近年の特に若い世代の食生活問題が「恥骨結合難解」と連動しているとも考えられています。偏食または塩分過剰摂取などの食生活は「hGH分泌」を下げてしまいます。「ラッピング」と呼ばれる「恥骨結合軟骨の擦り合わせ」にはhGHの起因細胞の存在が必須ですから、健常者に必要とされる「hGH濃度」の補填の為の「骨盤補正二段ベルト」の利用は、その意味でも代替策となるかもしれません。
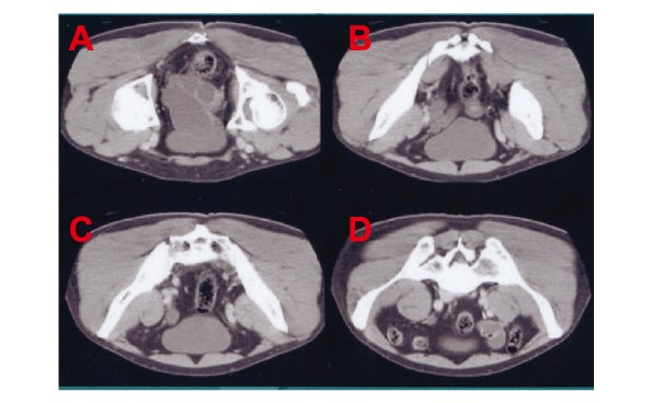
図Eは「骨盤補正二段ベルトの装着による恥骨結合難解」の様子を光学解像X線解析により最長1年間で経時的に計測した様子です(被験者は28歳女性 A:装着前 B:装着後3ヶ月 C:装着後6ヶ月 D:装着後1年)。
その結果、脊髄根元付近(上方からみて左右)にのみ集中していたhGHが「骨盤補正二段ベルト」の装着によって分散を始め、最終的には「恥骨結合軟骨」を包含するように均一に分散(ラッピング修復)されました。

下の図4は、同じ被験者(図E参照)のX線撮影結果(レントゲン)です。「骨盤補正二段ベルト」の装着により、その95日後には軟骨部位の解離間隔の修復されている事が分かります。






